В Псковской области онкологи спасли 21-летнюю девушку с серьезной опухолью в грудной клетке
0
В Псковском онкодиспансере спасли жизнь 21-летней девушке, сообщают в Комитете по здравоохранению Псковской области.
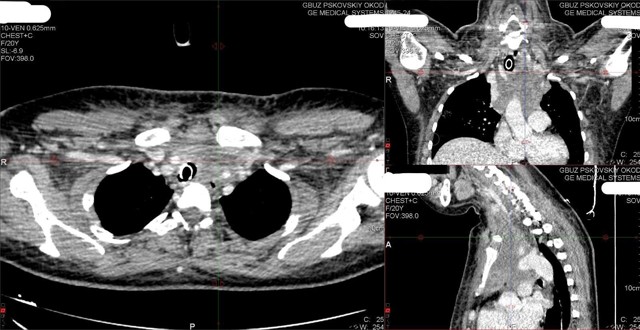
Пациентка обратилась уже в тяжелом состоянии и жаловалась на затрудненное дыхание и одутловатость лица. Причиной стало опухолевое поражение лимфоузлов средостения, которые, превратившись в большой конгломерат с кулак, сдавили трахею пациентки и верхнюю полую вену — очень важный крупный сосуд в грудной клетке.
Псковские онкологи провели исследование опухоли и начали лечение. Сейчас пациентка на пути к выздоровлению, девушка чувствует себя хорошо.
Пациентка обратилась уже в тяжелом состоянии и жаловалась на затрудненное дыхание и одутловатость лица. Причиной стало опухолевое поражение лимфоузлов средостения, которые, превратившись в большой конгломерат с кулак, сдавили трахею пациентки и верхнюю полую вену — очень важный крупный сосуд в грудной клетке.
Псковские онкологи провели исследование опухоли и начали лечение. Сейчас пациентка на пути к выздоровлению, девушка чувствует себя хорошо.
