В Псковской областной клинической больнице спасли пациента с пулей в шее
0
В Псковскую областную клиническую больницу поступил пациент 45 лет с множественными осколочными и пулевыми ранениями. Об этом рассказали в группе медучреждения в соцсети ВКонтакте.
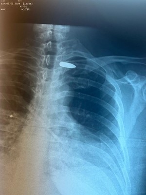
Медики рассказали, что вследствие проникающего ранения в правую половину шеи пуля осталась в области сосудисто-нервного пучка в подключичной области слева.
Пациенту требовалось высокотехнологичная медицинская помощь с участием сосудистого хирурга Абдулло Шабонова.
Проведено оперативное вмешательство: извлечение пули из области левой подключичной артерии между ключицей и подключичными сосудами. Операция прошла с применением новейших технологий, поясняют в больнице.
Состояние пациента удовлетворительное, полностью стабилизировано.
Медики рассказали, что вследствие проникающего ранения в правую половину шеи пуля осталась в области сосудисто-нервного пучка в подключичной области слева.
Пациенту требовалось высокотехнологичная медицинская помощь с участием сосудистого хирурга Абдулло Шабонова.
Проведено оперативное вмешательство: извлечение пули из области левой подключичной артерии между ключицей и подключичными сосудами. Операция прошла с применением новейших технологий, поясняют в больнице.
Состояние пациента удовлетворительное, полностью стабилизировано.
«Как только врачи убедятся, что для жизни пациента угрозы нет, он будет переведен в профильное учреждение»,— написали в сообществе.
