Смертельно и неизлечимо: В России выявили первые случаи болезни, характерной для вейперов
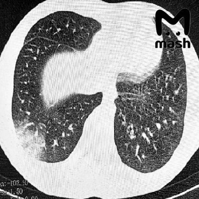
0Диагноз EVALI одному из пациентов уже поставили официально. У другого — «токсическое воздействие курительных смесей на центральную нервную систему». Пример пострадавших лёгких — на фото.
«Попкорновой болезнью» называют облитерирующий бронхиолит — заболевание, поражающее бронхиолы. Проявляется в виде воспаления, образования рубцов, сужения бронхиол. Заметить его можно при прослушивании лёгких, которые издают звук, напоминающий треск лопающегося попкорна.
Впервые EVALI диагностировано в 2019 году в США. Сегодня медицина не имеет эффективного лечения для этой формы бронхиолита. «Болезнь вейперов» может перейти в синдром острой дыхательной недостаточности, смертность от которого 30–50%. Также она повышает риск развития астмы на 30% и хронической обструктивной болезни лёгких на 75%.
