По соглашению между регионами в Калининграде прооперировали первого пациента из Псковской области
0
В Федеральном центре высоких медицинских технологий прооперировали первого пациента из Псковской области в рамках соглашения о сотрудничестве лечебного учреждения и Государственного комитета региона по здравоохранению и фармации.
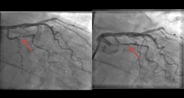
Высокотехнологичная медицинская помощь оказана 56-летнему псковичу по федеральной квоте. «Было сделано стентирование двух сосудов сердца. Операция прошла успешно, состояние больного удовлетворительное. Вчера мужчину выписали», — сообщил кардиохирург Федерального центра высоких медицинских технологий Михаил Исаян.
В прошлом году около 2 тыс жителей Псковской области получили высокотехнологичную помощь в больницах региона, еще более 3,2 тыс человек — в медицинских организациях других субъектов РФ. В среднем после подачи документов на плановые операции в федеральных центрах пациенты ждут в очереди от одного до трех месяцев. Преимуществом калининградского учреждения, с которым подписан договор, является короткий срок ожидания, пояснили в Госкомитете по здравоохранению и фармации.
«С того момента, как информация об этом пациенте появилась у нас, до его приезда в центр прошло буквально несколько дней. По нашим правилам, мы иногородних оформляем в отделение сразу, в любое время суток, в том числе в выходные дни. В таком оперативном режиме готовы и дальше работать с Псковским регионом», — отметил сердечно-сосудистый хирург.
Напомним, что договор с Федеральным центром высоких медицинских технологий Минздрава РФ является одним из направлений сотрудничества Псковской и Калининградской областей. Соглашение о двустороннем взаимодействии подписал в ноябре прошлого года временно исполняющий обязанности Губернатора Псковской области Михаил Ведерников.
Высокотехнологичная медицинская помощь оказана 56-летнему псковичу по федеральной квоте. «Было сделано стентирование двух сосудов сердца. Операция прошла успешно, состояние больного удовлетворительное. Вчера мужчину выписали», — сообщил кардиохирург Федерального центра высоких медицинских технологий Михаил Исаян.
В прошлом году около 2 тыс жителей Псковской области получили высокотехнологичную помощь в больницах региона, еще более 3,2 тыс человек — в медицинских организациях других субъектов РФ. В среднем после подачи документов на плановые операции в федеральных центрах пациенты ждут в очереди от одного до трех месяцев. Преимуществом калининградского учреждения, с которым подписан договор, является короткий срок ожидания, пояснили в Госкомитете по здравоохранению и фармации.
«С того момента, как информация об этом пациенте появилась у нас, до его приезда в центр прошло буквально несколько дней. По нашим правилам, мы иногородних оформляем в отделение сразу, в любое время суток, в том числе в выходные дни. В таком оперативном режиме готовы и дальше работать с Псковским регионом», — отметил сердечно-сосудистый хирург.
Напомним, что договор с Федеральным центром высоких медицинских технологий Минздрава РФ является одним из направлений сотрудничества Псковской и Калининградской областей. Соглашение о двустороннем взаимодействии подписал в ноябре прошлого года временно исполняющий обязанности Губернатора Псковской области Михаил Ведерников.
